Πληροφορίες
Εκπαιδευτές:
Ξυγκάς Δημήτριος
Τίτλος ομιλίας:
Guided Surgery Approach
Τηλαβερίδης Βασίλης
Τίτλος ομιλίας:
Κλειστή Ανύψωση Ιγμορείου με τη χρήση του kit της Haenaem
Περιγραφή Σεμιναρίου
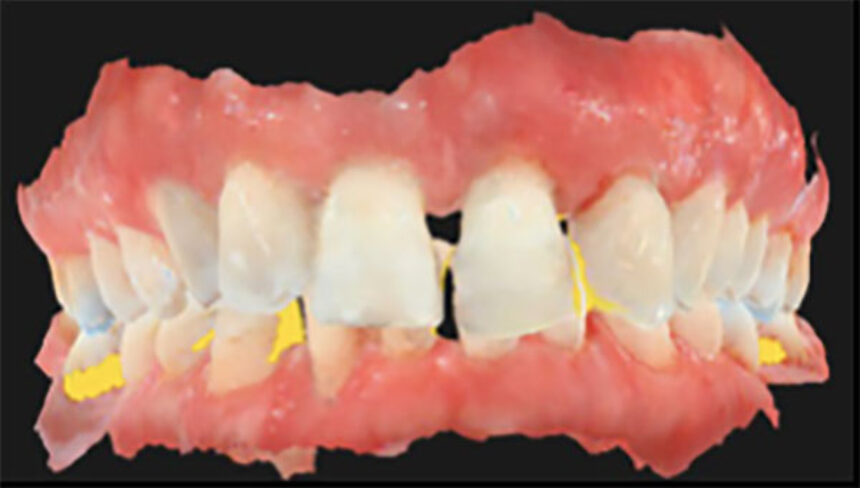
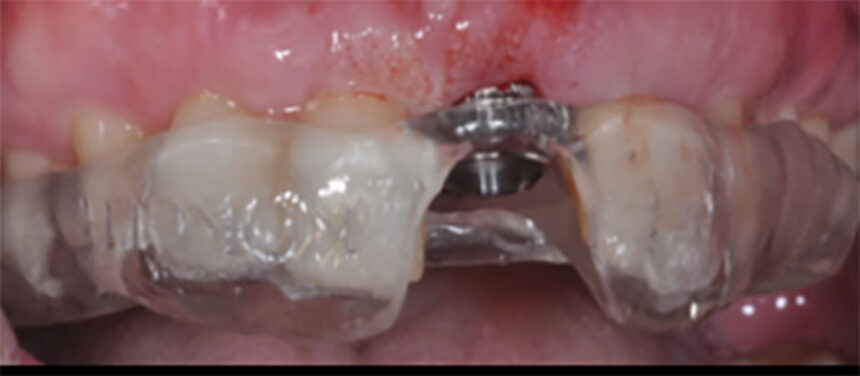
Σε αυτό το online σεμινάριο θα περιγράψουμε τις αρχές, τα πλεονεκτήματα και τα σημεία προσοχής της κατευθυνόμενης τοποθέτησης εμφυτευμάτων. Θα εξετάσουμε αρχικά πως μπορούμε να εκμεταλλευτούμε την ψηφιακή τεχνολογία με λήψη δεδομένων με αποτύπωση μέσω ενδοστοματικού σαρωτή (scanner) και αξονικής τομογραφίας κωνικής δέσμης (CBCT). ‘Επειτα, θα παρακολουθήσουμε πως μπορούμε να συνδυάσουμε τα δεδομένα (matching) ώστε να καταστρώσουμε ένα σχέδιο θεραπείας και σύμφωνα με αυτό να τοποθετήσουμε ψηφιακά τα εμφυτεύματα στην επιθυμητή θέση. Θα δούμε πως σχεδιάζεται ο νάρθηκας για την τοποθέτηση των εμφυτευμάτων, καθώς και η πιθανή προσωρινή εργασία για άμεση φόρτιση.
Στο live χειρουργείο θα γίνουν άμεσα εμφυτεύματα με τη βοήθεια χειρουργικού νάρθηκα για κατευθυνόμενη τοποθέτηση και άμεση προσωρινή αποκατάσταση με ταυτόχρονη λεπτομερή επεξήγηση των σταδίων και των πιθανών προβλημάτων και πως αυτά μπορούν να προληφθούν ή να αντιμετωπιστούν. Επίσης, θα γίνει σάρωση της περιοχής με scanner για την προετοιμασία της τελικής προσθετικής αποκατάστασης.
Οι στόχοι του σεμιναρίου είναι η κατανόηση:
🔴 του τρόπου λήψης δεδομένων από ψηφιακή αποτύπωση και CBCT
και του συνδυασμού των ψηφιακών δεδομένων για την κατάστρωση σχεδίου θεραπείας.
🔴 της ψηφιακής τοποθέτησης του εμφυτεύματος και του σχεδιασμού του νάρθηκα
🔴 των πλεονεκτημάτων της ψηφιακής ροής και του νάρθηκα
σε σύγκριση με τον αναλογικό τρόπο και του free-hand χειρουργείου
🔴 του πρωτόκολλου τρυπανισμού και ελέγχου με το νάρθηκα κατευθυνόμενης τοποθέτησης
και του χειρισμού των μαλακών ιστών
Multi Device Support

Ομιλητές

Δημήτρης Ξυγκάς
ΕΛΛΑΔΑ
Εισήχθη το 2004 στην Οδοντιατρική Σχολή Πανεπιστημίου Αθηνών με αριθμό σειράς «1ος» από όπου και αποφοίτησε το 2009, λαμβάνοντας διακρίσεις κατά τη διάρκεια των σπουδών του. Το 2011 έγινε δεκτός με υποτροφία στο μεταπτυχιακό τμήμα Περιοδοντολογίας και Εμφυτευμάτων του University of Louisville, KY στις ΗΠΑ και τελείωσε το 2014 λαμβάνωντας Master of Science. Το 2015 έλαβε το δίπλωμα της Αμερικανικής Επιτροπής Περιοδοντολογίας (ABP). Άρθρα του έχουν δημοσιευτεί σε διεθνή και ελληνικά περιοδικά. Η μεταπτυχιακή του εργασία για την πλαστική χειρουργική του περιοδοντίου έλαβε βραβείο στο διαγωνισμό ερευνών Billy M. Pennel της Νότιας Ακαδημίας Περιοδοντολογίας των ΗΠΑ. Είναι ενεργό μέλος της Αμερικανικής Ακαδημίας Περιοδοντολογίας και της ITI Διεθνούς Ομάδας Εμφυτευματολογίας. Διατηρεί ιδιωτικό ιατρείο με αποκλειστική άσκηση της περιοδοντολογίας και εμφυτευματολογίας.

Τηλαβερίδης Βασίλης
ΕΛΛΑΔΑ
Απόφοιτος τμήματος Οδοντικής Τεχνολογίας Πανεπιστημίου Δυτικής Αττικής
Απόφοιτος τμήματος Οδοντιατρικής Αριστοτελείου Πανεπιστημίου Θεσσαλονίκης
Μετεκπαιδευθείς στο Πρόγραμμα Δια Βίου της Γναθοπροσωπικής Χειρουργικής Α.Π.Θ. :
Αποκατάσταση Ελλειμματικής Φατνιακής Ακρολοφίας – ΠροΠροσθετική Χειρουργική Προχωρημένη Οδοντική Εμφυτευματολογία
Χορηγοί


Χρειάζεστε περισσότερες πληροφορίες?
Στείλτε μας μήνυμα με τις απορίες σας και θα σας απαντήσουμε άμεσαcall
Καλέστε μας
Μιλήστε τηλεφωνικά με έναν εκπρόσωπο της omnipress για οποιαδήποτε απορία σας(030) 210 2222637 (9.00am-06.00pm GMT+2)
frequently asked questions
Δωρεάν On-demand access
.
English





