ΠΡΩΙ
· Η έννοια του σχεδίου θεραπείας με άμεση τοποθέτηση, από την προσθετολογική στη χειρουργική επέμβαση
· Η προσθετολογική σημασία για την καθοδήγηση ενός προβλέψιμου χειρουργείου
· Από τον προ-προσθετικό στον εργαστηριακό σχεδιασμό & την κατασκευή του κολοβώματος
· βήματα της θεραπείας από την εξαγωγή του δοντιού ως την παράδοση της αποκατάστασης: οι λεπτομέρειες
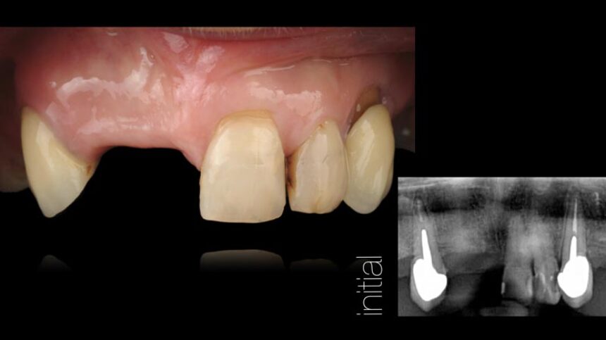
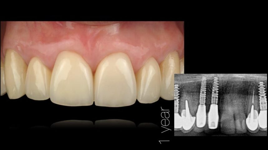
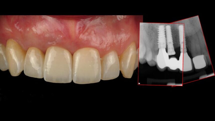
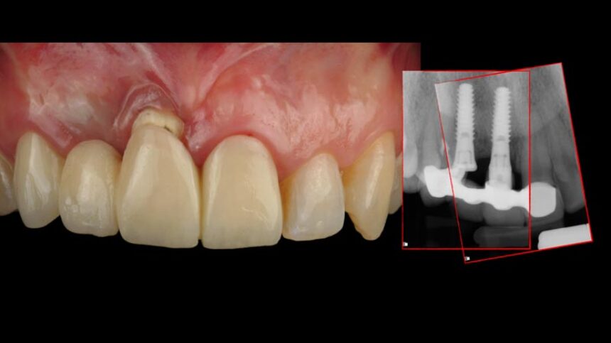
· κριτήρια που σχετίζονται με τους μαλακούς ιστούς στη θεραπεία με άμεση τοποθέτηση εμφυτεύματος
Διάλειμμα για καφέ
ΠΡΩΙ:
hands-on I:
διαδικασία λήψης αποφάσεων για το προσθετολογικό πρωτόκολλο σε κολόβωμα άμεσης τοποθέτησης εμφυτεύματος, τοποθέτηση του εμφυτεύματος με χειρουργικό οδηγό, κατασκευή εξατομικευμένου κολοβώματος…
Μεσημεριανό διάλειμμα
ΑΠΟΓΕΥΜΑ
· διαχείριση μαλακών ιστών σε άμεση τοποθέτηση εμφυτεύματος
· επιλογή κατάλληλης χρονικής στιγμής, διαδοχική σειρά βημάτων & επιλογή σημείου
· τεχνική λήψης μοσχεύματος από το έπαρμα της γνάθου, χειρισμός & διαμόρφωση ιστών
· σχέδια συρραφής, επούλωση & spectations
Διάλειμμα για καφέ
ΑΠΟΓΕΥΜΑ:
hands-on II:
τεχνικές λήψης μοσχευμάτων και διαχείριση ραμμάτων
English











