Kalesthetics

Info

Panos Bazos
Stavros Pelekanos
Michalis Diomataris
Nondas Vlachopoulos

This course is referred to clinicians and dental technicians.

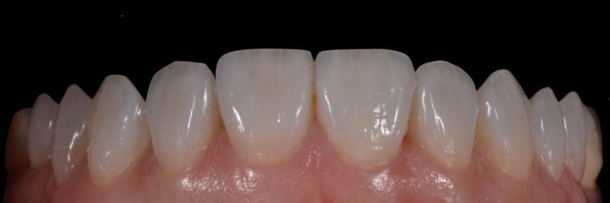
A complete live clinical veneer case from A-Z will be performed during the course, while the dental technicians will be able to follow the laboratory procedures performed by Nondas Vlachopoulos. At the same time in the clinic, live demonstrations, intensive hands on courses will be performed with the clinicians regarding the clinical protocols (photography, smile design, silicon indexes, preparations, provisionals, isolation technics, cementation) under the supervision of Stavros Pelekanos, Panos Bazos and Michalis Diomataris.

The last day will be common in the clinic where the try in, isolation and cementation of the veneers will be live demonstrated.

Speakers

bg_image

Michalis Diomataris
GREECE

bg_image

Nondas Vlachopoulos
GREECE

bg_image

Panos Bazos
GREECE

bg_image

Stavros Pelekanos
GREECE

Program

duration

Morning

(common for dental technician and dentists)

photography theory, intraoral & extraoral photography settings, DSD theory & photography

DEMO:

intraoral and portrait photography, DSD photography (LIVE patient)

 

Panos Bazos

Michalis Diomataris

duration

Afternoon

HANDS ON:

intraoral and portrait photography, DSD photography (participants, DSLR cameras

 

Panos Bazos

Michalis Diomataris

duration

Morning

(common for dental technician and dentists)

ATHENASMILE CLINIC PELEKANOS

DEMO:

Gathering in the clinic

Demonstration of the mock up analyzing the esthetic aspects (LIVE)

Minimal invasive preparations for the veneers (LIVE)

Final Impression (analog and digital, LIVE)

Shade taking (LIVE)

Provisional restorations (LIVE)

 

Stavros Pelekanos

duration

Afternoon

(dentists)

ATHENASMILE CLINIC PELEKANOS

THEORY:

categorization of veneers, teeth preparation techniques, silicon indexes, provisionals - mock-up, isolation techniques, cementation procedures

AESTHETIC LAB

Nondas

(technicians)

Nondas Vlachopoulos

alveolar model and the refractory dies of patient’s teeth in order to make feldspathic veneers on refractory.

shade selection according the photograph shooting from the clinicians.

Discussion & Analysis about: Color selection – Internal stratification – Chroma – Opacity – Value – Transparency – Translucency – Opalescence – Morphology & Surface Texture depending on the age, in order to achieve natural result.

 

Stavros Pelekanos

duration

---

rest day & sightseeing - socializing

 

duration

---

AESTHETIC LAB Nondas

(technicians)

DEMO

ceramic powders selection and build-up demonstration by Nondas.

Ceramic baking, adjustment of the interproximal contact surfaces – grinding – morphology – surface texture – staining & pre - polishing.

color matching of the restorations with the patient’s teeth and final polishing, photo shooting & discussion of the final result.

 

Nondas Vlachopoulos

duration

Morning

HANDS-ON:

silicon indexes, veneers preparation, isolation for veneers cementation

 

Stavros Pelekanos

duration

Afternoon

HANDS ON:

DSD on keynote or PowerPoint (participants mac or pc, pictures of LIVE patient provided)

 

Stavros Pelekanos

duration

---

DEMO

veneers try-in, isolation, cementation, finishing-polishing (LIVE)

final discussion

 

Stavros Pelekanos

Michalis Diomataris

Venue

Athena Smile Pelekanos Dental Clinic

Registration Fee

KALLESTHETICS

Price:

1900€ (for Dentists)

800€ (for Dental Technicians)

NOT AVAILABLE

VIEW OUR UPCOMING EVENTS

Date: 14-18/11/2018

frequently asked questions

Τι είδους σεμινάρια διοργανώνει η Omnipress;
Η Omnipress προσφέρει κλινικά προγράμματα, σεμινάρια και συνέδρια στον τομέα της οδοντιατρικής και της αισθητικής ιατρικής, με έμφαση στην πρακτική εμπειρία και τις σύγχρονες μεθόδους. Μέσω αυτών των οδοντιατρικών σεμιναρίων, οι συμμετέχοντες έχουν την ευκαιρία να ενισχύσουν τις γνώσεις τους, να μάθουν για τις τελευταίες εξελίξεις στον τομέα και να αποκτήσουν πολύτιμες δεξιότητες που θα τους βοηθήσουν στην επαγγελματική τους πορεία. Οι εισηγητές είναι καταξιωμένοι επαγγελματίες με πλούσια εμπειρία, οι οποίοι μοιράζονται τις γνώσεις τους και παρέχουν πρακτικές συμβουλές που μπορούν να εφαρμοστούν άμεσα στην καθημερινή κλινική πράξη.
Μέχρι πότε μπορώ να εγγραφώ στο KALLESTHETICS;
Οι εγγραφές παραμένουν ανοιχτές έως 3 ημέρες πριν την ημερομηνία διεξαγωγής ή μέχρι εξάντλησης των θέσεων. Αυτό σημαίνει ότι οι ενδιαφερόμενοι θα πρέπει να προγραμματίσουν την εγγραφή τους εγκαίρως, ώστε να εξασφαλίσουν τη συμμετοχή τους στα σεμινάρια που προσφέρονται. Η συμμετοχή σε αυτά τα σεμινάρια είναι κρίσιμη για την απόκτηση νέων γνώσεων και δεξιοτήτων στον τομέα, γι' αυτό είναι σημαντικό να μην χάσετε την ευκαιρία σας. Φροντίστε να ελέγξετε τις λεπτομέρειες και να κλείσετε τη θέση σας το συντομότερο δυνατόν.
Με ποιο τρόπο μπορώ να πληρώσω για τη συμμετοχή μου στο σεμινάριο;
Υπάρχουν διάφορες μέθοδοι πληρωμής που μπορείτε να χρησιμοποιήσετε για να εξασφαλίσετε τη θέση σας στα σεμινάρια. Μπορείτε να πληρώσετε με πιστωτικές χρεωστικές κάρτες, τραπεζικές μεταφορές ή ακόμα και ηλεκτρονικά πορτοφόλια, Apple Pay, Google Pay και άλλες επιλογές ανάλογα με τη χώρα. Είναι σημαντικό να ελέγξετε τις διαθέσιμες επιλογές και να επιλέξετε αυτή που σας βολεύει περισσότερο.
Πότε λήγει η έκπτωση προεγγραφής (early bird) για το KALLESTHETICS;
Η έκπτωση προεγγραφής ισχύει μέχρι την ημερομηνία που αναγράφεται στη σελίδα κάθε event, προσφέροντας στους συμμετέχοντες την ευκαιρία να εξασφαλίσουν τη θέση τους σε σεμινάρια σε προνομιακή τιμή. Είναι σημαντικό να παρακολουθείτε τις ενημερώσεις και τις προθεσμίες, καθώς αυτές οι προσφορές ενδέχεται να είναι περιορισμένες και να μην επαναλαμβάνονται. Επωφεληθείτε από την έγκαιρη προεγγραφή για να διασφαλίσετε την καλύτερη εμπειρία μάθησης και δικτύωσης στον τομέα.
Πότε διεξάγονται συνήθως τα σεμινάρια;
Τα σεμινάρια πραγματοποιούνται κυρίως Παρασκευές και Σαββατοκύριακα, προσφέροντας έτσι τη δυνατότητα στους συμμετέχοντες να παρακολουθήσουν τις εκπαιδευτικές εκδηλώσεις χωρίς να επηρεάζεται η καθημερινή τους εργασία. Η ακριβής ημερομηνία και ώρα κάθε σεμιναρίου εμφανίζεται στη σελίδα κάθε εκδήλωσης, δίνοντας τη δυνατότητα στους ενδιαφερόμενους να προγραμματίσουν τη συμμετοχή τους με βάση τις διαθέσιμες ημερομηνίες. Αυτά τα σεμινάρια καλύπτουν σύγχρονα θέματα και τεχνικές στον τομέα, προσφέροντας πολύτιμες γνώσεις και δεξιότητες στους επαγγελματίες του κλάδου.
Ποιές είναι οι ημερομηνίες διεξαγωγής του event KALLESTHETICS;
Οι ημερομηνίες διεξαγωγής του event είναι οι εξής:

Date: 14-18/11/2018

.
Πότε αποστέλλεται η βεβαίωση συμμετοχής για KALLESTHETICS;
Οι βεβαιώσεις αποστέλλονται μέσω email εντός 5 εργάσιμων ημερών μετά τη λήξη του σεμιναρίου, εξασφαλίζοντας ότι οι συμμετέχοντες θα λάβουν την επίσημη επιβεβαίωση της συμμετοχής τους και των γνώσεων που απέκτησαν κατά τη διάρκεια των οδοντιατρικών σεμιναρίων. Αυτή η διαδικασία διασφαλίζει την αμεσότητα και την αποτελεσματικότητα στην ενημέρωση των συμμετεχόντων, επιτρέποντάς τους να προχωρήσουν με τις απαραίτητες διαδικασίες για την επαγγελματική τους εξέλιξη και τη συνεχιζόμενη εκπαίδευσή τους στον τομέα. Με αυτόν τον τρόπο, οι συμμετοχές στα σεμινάρια αποκτούν ουσιαστική αξία και αναγνώριση στην αγορά εργασίας.
Πότε μπορώ να ακυρώσω τη συμμετοχή μου;
Η ακύρωση γίνεται δεκτή έως και 5 ημέρες πριν την έναρξη του σεμιναρίου, με πλήρη επιστροφή χρημάτων. Αυτό σημαίνει ότι οι συμμετέχοντες έχουν τη δυνατότητα να αλλάξουν γνώμη ή να αντιμετωπίσουν απρόβλεπτες καταστάσεις χωρίς να ανησυχούν για την οικονομική τους επιβάρυνση. Είναι σημαντικό να γνωρίζουν οι ενδιαφερόμενοι ότι η έγκαιρη ακύρωση τους παρέχει την ασφάλεια ότι θα μπορέσουν να επιστρέψουν τα χρήματά τους, διευκολύνοντας έτσι την απόφαση τους να συμμετάσχουν στα σεμινάρια. Η πολιτική αυτή δείχνει τη δέσμευση των διοργανωτών για την ικανοποίηση των συμμετεχόντων και την προώθηση ενός θετικού περιβάλλοντος μάθησης.
Υπάρχει δυνατότητα online παρακολούθησης;
Ορισμένα σεμινάρια προσφέρονται και online μέσω livestream, προσφέροντας στους συμμετέχοντες την ευκαιρία να παρακολουθήσουν τις εκπαιδευτικές διαδικασίες από την άνεση του σπιτιού τους ή του γραφείου τους. Αυτή η επιλογή είναι ιδιαίτερα χρήσιμη για εκείνους που δεν μπορούν να παρευρεθούν αυτοπροσώπως για διάφορους λόγους, όπως η απόσταση ή οι υποχρεώσεις τους. Στη σελίδα κάθε εκδήλωσης αναγράφεται σαφώς αν υπάρχει η δυνατότητα παρακολούθησης μέσω livestream, διευκολύνοντας έτσι τη διαδικασία εγγραφής και συμμετοχής στα σεμινάρια, ανεξάρτητα από την τοποθεσία του ενδιαφερόμενου.
Πότε παραλαμβάνω το υλικό του σεμιναρίου;
Το υλικό παρέχεται την ημέρα διεξαγωγής, είτε σε έντυπη είτε σε ηλεκτρονική μορφή. Αυτό εξασφαλίζει ότι οι συμμετέχοντες θα έχουν πρόσβαση σε όλα τα απαραίτητα εργαλεία και πληροφορίες που χρειάζονται για να εκμεταλλευτούν στο έπακρο την εμπειρία τους στα οδοντιατρικά σεμινάρια. Η παροχή του υλικού σε αυτές τις μορφές διευκολύνει την εκμάθηση και τη συμμετοχή, ενώ ταυτόχρονα επιτρέπει στους συμμετέχοντες να ανατρέχουν σε αυτό και μετά την ολοκλήρωση του σεμιναρίου για μελλοντική αναφορά και περαιτέρω μελέτη.
Πώς μπορώ να κάνω την εγγραφή μου;
Μπορείτε να πατήσετε το κουμπί "Εγγραφή" στη σελίδα του σεμιναρίου και να ολοκληρώσετε τη διαδικασία online μέσα σε 2 λεπτά.
Είναι ασφαλής η πληρωμή μέσω της ιστοσελίδας;
Ναι, όλες οι πληρωμές πραγματοποιούνται μέσω ασφαλούς περιβάλλοντος (SSL) και μέσω αξιόπιστης πλατφόρμας πληρωμών όπως το Stripe. Τα στοιχεία σας είναι απολύτως προστατευμένα.
Μπορώ να πάρω τιμολόγιο για τη συμμετοχή
Φυσικά! Μπορείτε να ζητήσετε έκδοση τιμολογίου κατά την ολοκλήρωση της αγοράς, συμπληρώνοντας τα στοιχεία της επιχείρησής σας στη φόρμα εγγραφής.
Δεν είμαι σίγουρος/η αν είναι κατάλληλο για μένα — τι να κάνω;
Μπορείτε να μας στείλετε email στο info@omnipress.gr ή να μας καλέσετε για να σας βοηθήσουμε να επιλέξετε το κατάλληλο σεμινάριο με βάση το επίπεδο και τις ανάγκες σας.
Που μπορώ να δω όλα τα εκπαιδευτικά σεμινάρια & συνέδρια για το έτος 2025;
Μπορείτε να πατήσετε εδώ Σεμινάρια 2025 και να δείτε όλα τα επερχόμενα σεμινάρια & συνέδρια μας για το έτος 2025.
Οι θέσεις είναι περιορισμένες;
Ναι, τα περισσότερα σεμινάρια έχουν περιορισμένο αριθμό θέσεων, ιδιαίτερα τα πρακτικά hands-on. Καλό είναι να κλείσειτε εγκαίρως για να διασφαλίσετε τη συμμετοχή σας.
Πού μπορώ να απευθυνθώ για απορίες;
Στείλτε email στο info@omnipress.gr ή κάλεστε στο 210 222 2637 για περισσότερες πληροφορίες σχετικά με τα οδοντιατρικά σεμινάρια που διοργανώνονται, καθώς και για να λάβετε απαντήσεις σε τυχόν ερωτήσεις που μπορεί να έχετε σχετικά με την συμμετοχή σας σε αυτά.

Upcoming Events

Date: 16-17/10/2026 (Athens)

Early Bird!

Congresses

HAED

Date: 28-29/11/2025

Date: 13/12/2025 (Athens)

Dates: Module Ε1: 4-7/03/2026, Module Ε2: 24-27/06/2026, Module Ε3: 16-19/09/2026

Early Bird!

Date: 22/11/2025

Dates: MODULE I: 13 -15 MARCH 2026 • MODULE II: 12-14 JUNE 2026 • MODULE III: 16-18 JULY 2026 • MODULE: 25-27 SEPTEMBER 2026