Πληροφορίες
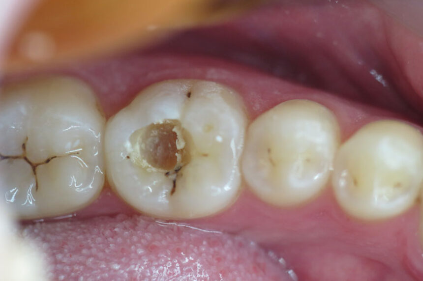
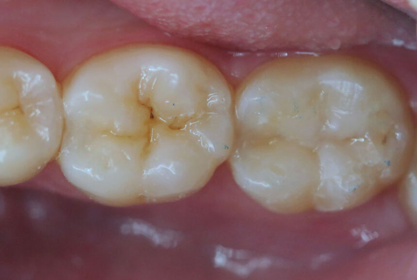
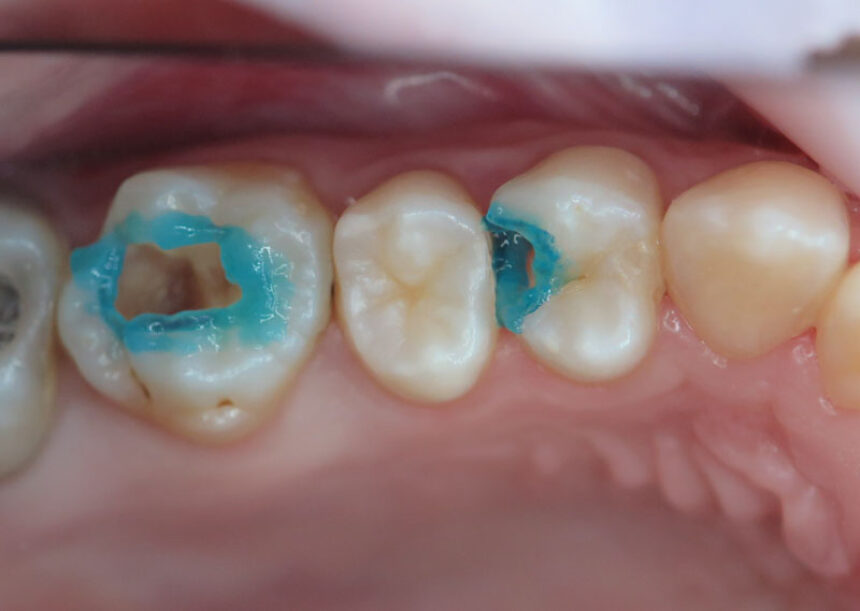
Κάθε αποκατάσταση οπισθίων δοντιών με σύνθετη ρητίνη στοχεύει στη φυσική χρωματική απόδοση και σωστή ανατομική μορφολογία αλλά και στην προστασία του βιολογικού και λειτουργικού υποβάθρου του δοντιού. Γιατί ωστόσο επικρατεί σύγχυση με τα ποικίλα κλινικά πρωτόκολλα και υλικά για τις εμφράξεις με σύνθετες ρητίνες; Γιατί εμφανίζεται μετεπεμβατική ευαισθησία; Ποια σύνθετη ρητίνη είναι η κατάλληλη και ποιος συνδετικός παράγοντας θα προσφέρει τη μεγαλύτερη αντοχή; Πόσο υγρή πρέπει να είναι η οδοντίνη για τη σωστή συγκόλληση; Τι ρόλο παίζει η συσκευή πολυμερισμού που θα χρησιμοποιηθεί; Ποιο είναι το σωστό τοίχωμα για κάθε περίπτωση αποκατάστασης; Και αφού όλα έχουν γίνει σωστά, γιατί ο ασθενής πονάει; Είναι όντως οι σύνθετες ρητίνες τόσο απλές και καθημερινές όπως ένας καφές; To webinar συνοψίζει τις απαντήσεις στα σύγχρονα κλινικά ερωτήματα, συνθέτοντας τη συνταγή για επιτυχημένες εμφράξεις σύνθετης ρητίνης με υλικά που απλοποιούν τη διαδικασία και τεχνικές, tips & tricks που μιμούνται τη φύση.
Multi Device Support

Ομιλητές

Χριστίνα Μπουτσιούκη
ΕΛΛΑΔΑ
Dr. Χριστίνα Μπουτσιούκη DDS, MSc
Η Dr. Χριστίνα Μπουτσιούκη αποφοίτησε από το Αριστοτέλειο Πανεπιστήμιο Θεσσαλονίκης, ειδικεύτηκε στην Αισθητική Οδοντιατρική, στο μεταπτυχιακό πρόγραμμα της Οδοντ. Χειρουργικής. Συνέχισε τις διδακτορικές της σπουδές στο Πανεπιστήμιο University of Giessen, JLU στη Γερμανία, όπου από το 2014 παραδίδει διαλέξεις και επιτηρεί ερευνητικά προγράμματα ως επιστημονικός συνεργάτης. Το κύριο ερευνητικό της ενδιαφέρον στρέφεται γύρω από τα πολυμερή οδοντιατρικά υλικά, την αντιτερηδονογόνο δράση των ρητινών και υαλοϊονομερών υλικών, τα βιοενεργά υλικά και τις νεότερες εξελίξεις στα συνδετικά συστήματα, όπως η ενσωμάτωση αντιμικροβιακών ουσιών στους συνδετικούς παράγοντες. Από το 2007 συμμετέχει σε οδοντιατρικά συνέδρια και λαμβάνει μέρος με επιστημονικές ανακοινώσεις τόσο στην Ελλάδα, όσο και στο εξωτερικό, με περισσότερες από 30 δημοσιεύσεις κλινικών και ερευνητικών άρθρων. Έχει λάβει 3 ερευνητικές υποτροφίες τα έτη 2014, 2015 και το 2019 και βραβεία καλύτερης αναρτημένης παρουσίασης στο Ετήσιο Συνέδριο της Γερμανικής Εταιρίας Παιδοδοντίας (DGKiZ) στη Φρανκφούρτη το 2016 και στο Συνέδριο της Παγκόσμιας Ακαδημίας Παιδοδοντίας (IAPD) στη Μπανγκόκ το 2018. Διατηρεί ιδιωτικό ιατρείο στη Θεσσαλονίκη.
Χρειάζεστε περισσότερες πληροφορίες?
Στείλτε μας μήνυμα με τις απορίες σας και θα σας απαντήσουμε άμεσαcall
Καλέστε μας
Μιλήστε τηλεφωνικά με έναν εκπρόσωπο της omnipress για οποιαδήποτε απορία σας(030) 210 2222637 (9.00am-06.00pm GMT+2)
frequently asked questions
Δωρεάν On-demand access
.
English









