Πληροφορίες
WEBNINAR 25-9-2024 19:00 GREECE
Online Seminar με live Surgery
Διάρκεια: 90’
Περιγραφή Σεμιναρίου
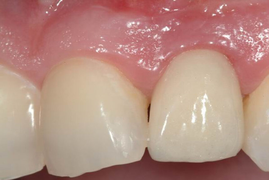
Άμεση κατευθυνόμενη τοποθέτηση εμφυτεύματος σε μετεξακτικό φατνίο στην αισθητική ζώνη. Θεραπευτικές προσεγγίσεις από το βιολογικό υπόβαθρο στο live surgery.
Παρουσίαση του συστήματος εμφυτευμάτων Omni taper.

Οι υψηλές αισθητικές απαιτήσεις της σύγχρονης οδοντιατρικής καλούν για πλήρη αποκατάσταση της αρμονίας ανάμεσα σε μαλακούς και σκληρούς ιστούς, αλλά και ανάμεσα στο χαμόγελο και όλο το πρόσωπο.
Η αποκατάσταση αλλά και η διατήρηση των μαλακών και σκληρών ιστών στην αισθητική ζώνη εξαρτάται από πάρα πολλούς παράγοντες που έχουν να κάνουν από την επιλογή χειρουργικής προσέγγισης μέχρι και τα χαρακτηριστικά της προσθετικής αποκατάστασης και του εμφυτεύματος.
Στο περιστατικό που θα αντιμετωπιστεί live θα γίνει άμεση τοποθέτηση εμφυτεύματος με πλήρη καθοδήγηση χειρουργικού νάρθηκα, θα συζητηθούν οι εναλλακτικές προσεγγίσεις και θα παρουσιαστεί ο τρόπος και τα διαφορετικά σενάρια εξατομίκευσης της επούλωσης των μαλακών ιστών.
Θα παρουσιαστούν:
- Τεχνικές ατραυματικής εξαγωγής
- Παρουσίαση του πρωτόκολλου τρυπανισμού και ελέγχου με το νάρθηκα κατευθυνόμενης τοποθέτησης,
- Τοποθέτηση οστικού μοσχεύματος
- Τεχνικές λήψης μοσχεύματος συνδετικού ιστού και για αύξηση του όγκου των προστομιακών ούλων
- Τεχνικές συρραφής για μυλική μεατόπιση κρημνού και σταθεροποίηση μοσχεύματος μαλακών ιστών
- Διαμόρφωση εξατομικευμένου προσθετικού προφίλ ανάδυσης
Εκπαιδευτής:
Σπύρος Καρατζάς
Με την υποστήριξη:
Μαυραειδόπουλος Δ.
Διοργάνωση
OMNIPRESS
Multi Device Support

Ομιλητές

Σπύρος Καρατζάς
ΕΛΛΑΔΑ
ΣΠΥΡΟΣ ΚΑΡΑΤΖΑΣ D.D.S, D.M.D., M.S.
Ο Σπύρος Καρατζάς απoφοίτησε από την Οδοντιατρική Σχολή του Πανεπιστημίου Αθηνών το 1990, και πήρε δεύτερο πτυχίο Οδοντιατρικής από την Οδοντιατρική σχολή του Boston University το 2000. Ειδικεύτηκε στην Περιοδοντολογία στο Πανεπιστήμιο του Rochester, Eastman Dental Center, και ολοκλήρωσε το Master του το 1995. Είναι Diplomate του American Board of Periodontology από το 1996, την χρονιά όπου του απονεμήθηκε το Michael Bonocore Award for outstanding Scientific Merit από την International Association for Dental Research. Είναι fellow της International Team of Implantology ITI, καθώς και ITI registered speaker.
Από το 1995 μέχρι το 1996 διετέλεσε επίκουρος Καθηγητής στο University of Rochester. Το 1996, έγινε Επίκουρος Καθηγητής Περιοδοντολογίας στην Οδοντιατρική Σχολή του Boston University όπου άσκησε διδακτικό και ερευνητικό έργο έως το 2000. Διετέλεσε επιστημονικός συνεργάτης στην κλινική της Περιοδοντολογίας του Πανεπιστημίου Αθηνών από το 2000 έως το 2013. Από το 2000 έως σήμερα είναι Επισκέπτης Επίκουρος Καθηγητής στην έδρα της Περιοδοντολογίας στο University of Rochester και του Boston University.
Είναι γραμματέας του Οδοντιατρικού Συλλόγου Αχαΐας. Έχει διατελέσει πρόεδρος της Ελληνικής Ακαδημίας Μικροσκοπικής Οδοντιατρικής, και της Ελληνικής Ακαδημίας Αισθητικής Οδοντιατρικής. Έχει παρουσιάσει πολλές εργασίες σε πανελλήνια και διεθνή συνέδρια, και έχει δημοσιεύσει επιστημονικά άρθρα σε ελληνικά και ξένα περιοδικά. Διατηρεί ιδιωτικό ιατρείο στην Πάτρα με αποκλειστικότητα την περιοδοντολογία και τα εμφυτεύματα.
Χρειάζεστε περισσότερες πληροφορίες?
Στείλτε μας μήνυμα με τις απορίες σας και θα σας απαντήσουμε άμεσαcall
Καλέστε μας
Μιλήστε τηλεφωνικά με έναν εκπρόσωπο της omnipress για οποιαδήποτε απορία σας(030) 210 2222637 (9.00am-06.00pm GMT+2)
frequently asked questions
On-demand access για 7 ημέρες
.
English












