02/07/2021
08:15 – 09:00
Εγγραφές
09:00 – 10:30
Κατηγοριοποίηση ατροφικού οστού των γνάθων – Σχεδιασμός θεραπείας και χειρουργικές ενδείξεις. Η πλήρως νωδή άνω γνάθος: διάφορες ατροφίες και αντίστοιχες χειρουργικές τεχνικές – Βίντεο με οστικά μοσχεύματα και Καθοδηγούμενη Οστική Ανάπλαση (GBR).
10:30 – 11:15
Σύντομο διάλειμμα – Επίσκεψη στην έκθεση
11:15 – 12:45
Η πλήρως νωδή κάτω γνάθος: διάφορες ατροφίες και αντίστοιχες χειρουργικές τεχνικές – Κοντά εμφυτεύματα - Οστικά μοσχεύματα – GBR
Οριζόντια και Κάθετη Αύξηση της Ακρολοφίας: χειρουργικό υπόβαθρο - χειρουργικές τεχνικές – απορροφήσιμες και μη-απορροφήσιμες μεμβράνες – λήψη οστικού μοσχεύματος από ενδο-στοματικά σημεία – βίντεο
12:45 – 14:15
Ελαφρύ γεύμα - Επίσκεψη στην έκθεση
14:15 – 15:45
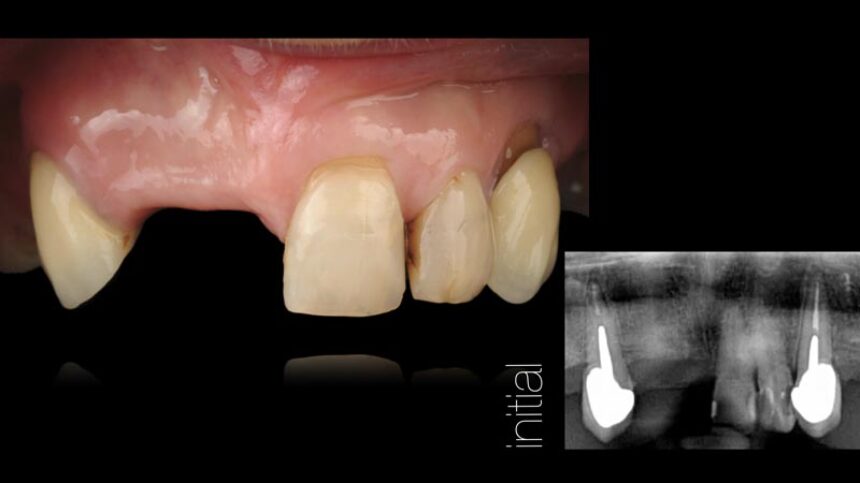
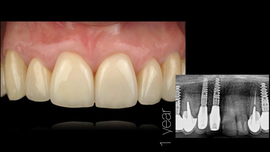
Αισθητική Οδοντιατρική με Εμφυτεύματα – βασικά επιστημονικά στοιχεία
Ανατομικοί παράγοντες με καθοριστικό ρόλο στην αισθητική αποκατάσταση επί εμφυτευμάτων – Διάγνωση και σχεδιασμός θεραπείας.
Διαχείριση μαλακών ιστών.
Χειρουργικές τεχνικές για την αύξηση των σκληρών και των μαλακών ιστών.
15:45 – 16:30
Σύντομο διάλειμμα – Επίσκεψη στην έκθεση
16:30 – 17:30
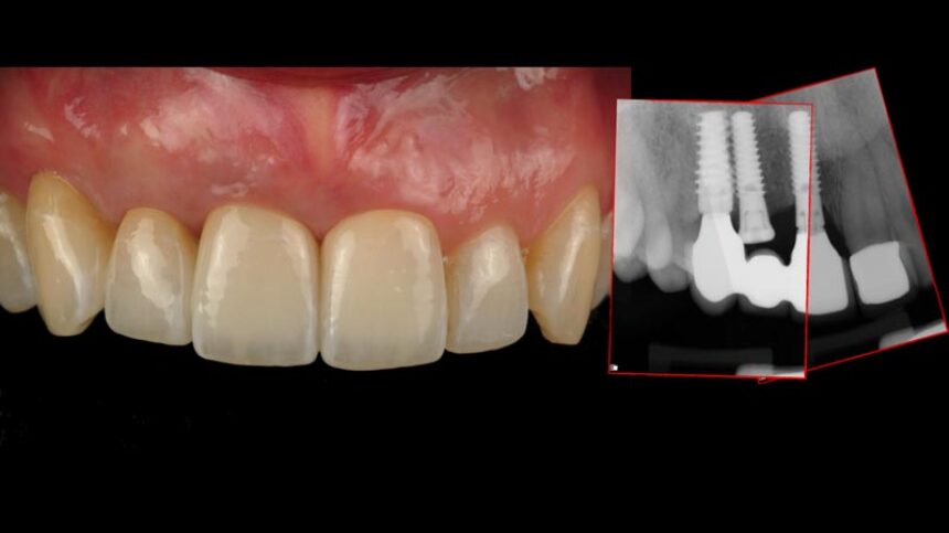
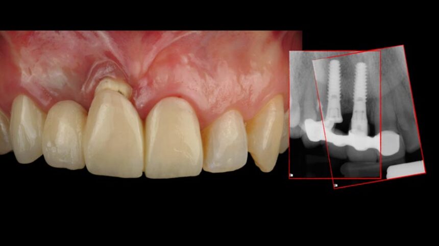
Μακροπρόθεσμα αποτελέσματα μετά από 30 χρόνια εμπειρίας.
Αντιμετώπιση επιπλοκών της GBR.
Διάγνωση, πρόληψη και αντιμετώπιση της περι-εμφυτευματίτιδας
Prof. Massimo Simion
03/07/2021
09:00 – 10:30
Η κατανόηση της σπουδαιότητας των μοσχευμάτων συνδετικού ιστού (CTG) γύρω από τα οδοντικά εμφυτεύματα για αποτελέσματα με διάρκεια στο χρόνο.
Τεχνικές και εργαλεία που διασφαλίζουν προβλέψιμα χειρουργικά & προσθετικά αποτελέσματα
10:30 – 11:15
Σύντομο διάλειμμα – Επίσκεψη στην έκθεση
11:15 – 12:45
Διαδικασία λήψης αποφάσεων για την επιλογή της ενδεδειγμένης θεραπείας
12:45 – 14:15
Ελαφρύ γεύμα - Επίσκεψη στην έκθεση
14:15 – 15:45
Βασικές έννοιες αλληλουχίας με ορθοδοντικές παρεμβάσεις και των ενδεδειγμένων χρονικών στιγμών για αυτές
15:45 – 16:30
Σύντομο διάλειμμα – Επίσκεψη στην έκθεση
16:30 – 17:30
Διαχείριση των αποτυχιών των εμφυτευμάτων στην αισθητική περιοχή, οι εναλλακτικές.
DR. IÑAKI GAMBORENA
English
























