Module 1: 17-19 October 2025
Day 1:
 Tooth bleaching
Lecture Room
 09.00-10.30
 Welcome to the course
 Overview
 Natural teeth color and discolorations
 Home vs. office bleaching
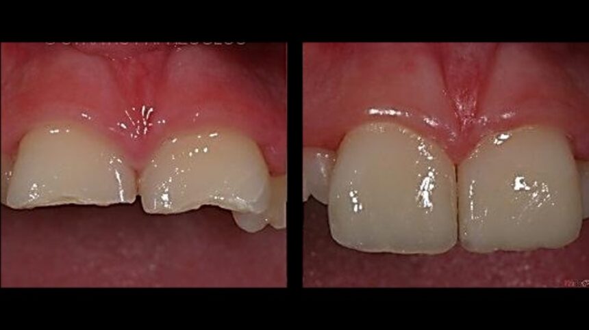
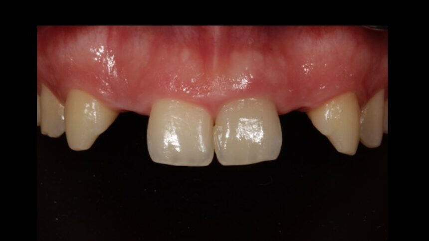
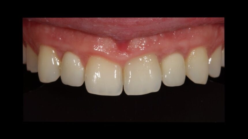
 Bleaching of single discoloured tooth
10.30-11.00
 Coffee break
Simulation laboratory-
 11.00-12.30
 Hands-on: fabrication of custom-made bleaching trays for home bleaching
 Hands-on: internal bleaching of endodontically treated discoloured tooth
12.30-13.30
 Light lunch
Postgraduate Clinic
 13.30-15.00
 Live demonstration: office bleaching
15.00-15.30
 Coffee break
Lecture Room
 15.30-16.00
16.00-17.00
 Effect of bleaching on soft and hard dental tissues
 Complications and risks of tooth bleaching
 Treatment options combining tooth bleaching with resin composite restorations and/or ceramic laminate veneers
 Marketing
Day 2:
 Resin composites, Adhesion, Isolation, Direct posterior restorations
Lecture Room
 09.00-10.30
 Resin composites: Evolution - Properties - Clinical behavior
 Adhesive systems
 Photopolymerization Units
 Hard tissues: Enamel vs. Dentin
10.30-11.00
 Coffee break
Lecture Room
 11.00-12.30
 The importance of isolation in adhesive dentistry
 Rubber dam or chaos?
 Direct posterior restorations – C-factor
 Matrices and wedges
12.30-13.30
 Light lunch
Simulation
 laborator
 13.30-15.00
Hands-on: Rubber dam isolation for direct anterior and posterior restorations
15.00-15.30
 Coffee break
Simulation laboratory
 15.30-17.00
 Hands-on direct posterior restorations using resin composite (class II)
17:00- 18:30
 Bonus Lecture: Dental adhesion: longevity and perspectives (George Eliades)
Day 3:
 Esthetic posterior restorations (Direct vs indirect)
Lecture Room
 09.00-10.30
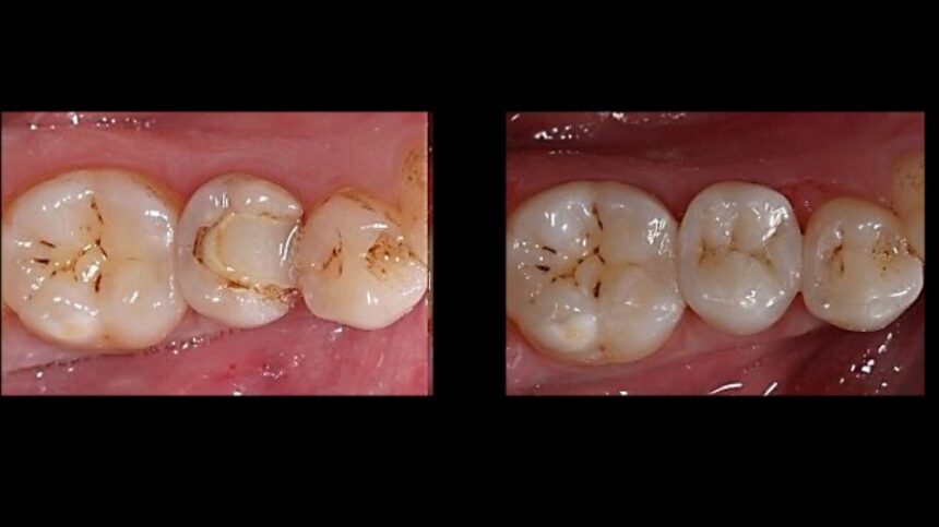
 Extended direct posterior restorations using resin composite
10.30-11.00
 Coffee break
Simulation laboratory-
 11.00-12.30
 Hands-on: Extended direct posterior onlay restoration using resin composite
12.30-13.30
 Light lunch
Lecture Room
 13.30-15.00
 Onlays, overlays - theory
15.00-15.30
 Coffee break
Simulation laboratory-
 15.30-17.00
 Hands-on: Onlays, preparation laboratory
Module 2: 21-23 November 2025
Day 4:
 Esthetic direct anterior restorations
Lecture Room
 4th fl.
 09.00-10.30
 Diastema closure, tooth shape alteration
 Class ΙΙΙ, ΙV direct anterior restorations
10.30-11.00
 Coffee break
Lecture Room
 4th fl.
 11.00-12.30
 Diagnostic wax-up vs. Direct Mock up
 Fabrication of silicone index
12.30-13.30
 Light lunch
Simulation laboratory-
 13.30-15.00
 Hands-on: Direct anterior restoration (class IV)
15.00-15.30
 Coffee break
Simulation laboratory-
 15.30-17.00
 Hands-on: Direct anterior restoration (class IV)
17:00- 18:30
 Bonus Lecture: Athletic mouthguards ( George Rachiotis)
Day 5:
 Esthetic direct anterior restorations
Simulation laboratory-
 09.00-10.30
 Hands-on: Direct composite veneer
10.30-11.00
 Coffee break
Simulation laboratory-
 11.00-12.30
 Hands-on: Diastema closure
12.30-13.30
 Light lunch
Simulation laboratory-
 13.30-15.00
 Hands-on: Anterior tooth shape alteration
15.00-15.30
 Coffee break
Simulation laboratory-
 15.30-17.00
 Completion of hands-on exercises
Day 6:
 Invited speaker: TBA
Module 3: 16-18 January 2026
Day 7: 
 Esthetic analysis, dental photography, dental colour
Lecture Room
 09.00-10.30
 Esthetic analysis
 Digital smile design
 Esthetic treatment plan
10.30-11.00
 Coffee break
Lecture Room
 11.00-12.30
 Dental photography, equipment and methodology
 Mobile photography
 Optical properties of teeth and materials and shade matching
 Communication with the dental laboratory
 Organising and presenting a clinical case using Power Point
12.30-13.30
 Light lunch
Lecture Room
 13.30-15.00
 Demonstration: Digital Esthetic treatment plan
 Demonstration: Digital shade matching
 Demonstration: Extraoral dental photographs
15.00-15.30
 Coffee break
Postgraduate Clinic -
 15.30-17.00
 Hands-on: taking intraoral and extraoral photographs by the participants
17:00- 18:30 
 Bonus Lecture: Managing periodontal tissues in restorative dentistry: Crown lengthening. (Phoebus Madianos)
Day 8:
 Indirect anterior esthetic restorations: laminate veneers
Simulation laboratory-
 09.00-10.30
 Hands-on: Fabrication of silicone index for laminate veneers
10.30-11.00
 Coffee break
Simulation laboratory-
 11.00-12.30
 Hands-on: mock up, demonstration of preparation for laminate veneers
12.30-13.30
 Light lunch
Simulation laboratory-
 13.30-15.00
 Hands-on: preparation for laminate veneers
15.00-15.30
 Coffee break
Simulation laboratory-
 15.30-17.00
 Hands-on: provisional restorations and cementation of laminate veneers
Day 9:
 Invited speaker
Module 4 :20-22 February 2026
Day 10: 
 Restoration of worn dentition
Lecture Room
 09.00-10.30
 Worn dentition.
 Diagnosis and aetiology
 Classification
10.30-11.00
 Coffee break
Lecture Room
 11.00-12.30
 Restoration of the worn dentition- different approaches
 Full mouth treatment - conservative approach
12.30-13.30
 Light lunch
Simulation laboratory-
 13.30-15.00
 Hands-on: class V
15.00-15.30
 Coffee break
Simulation laboratory-
 15.30-17.00
 Hands-on: direct composite crown
17:00- 18:30 
 Bonus Lecture: How to manage and develop my dental practice leading a balanced life (Maria Antoniadou)
Day 11: 
 Injection Molding a new perspective in restorative dentistry
Lecture Room
 09.00-10.30
 Theory: injection moulding technique
10.30-11.00
 Coffee break
Lecture Room
 11.00-12.30
 Theory: injection moulding technique
12.30-13.30
 Light lunch
Simulation laboratory-
 13.30-15.00
 Hands-on: injection moulding technique
15.00-15.30
 Coffee break
Simulation laboratory-
 15.30-17.00
 Hands-on: injection moulding technique
Day 12: 
 Occlusion in restorative dentistry
Lecture Room
 09.00-10.30
 Treatment position.
 When and how we proceed to increase of the vertical dimension of occlusion
10.30-11.00
 Coffee break
Lecture Room
 11.00-12.30
 Bruxism
 Splints
12.30-13.30
 Light lunch
Postgraduate Clinic -
 13.30-15.00
 Demonstration of impression taking and registration for the fabrication of a splint for bruxism
15.00-15.30
 Coffee break
Postgraduate Clinic
 15.30-17.00
 Hands-on: impression taking and registration for the fabrication of a splint for bruxism
Module 5 :13-15 March 2026
Day 13: 
 Digital workflow in restorative dentistry
Lecture Room
 09.00-10.30
 Digital impressions
 Digital smile design
 Digital workflow
10.30-11.00
 Coffee break
Lecture Room
 11.00-12.30
 exocad
 3d printing vs CAD/CAM
12.30-13.30
 Light lunch
Postgraduate Clinic
 13.30-15.00
 Demonstration of intraoral digital impression technique Hands-on: intraoral digital impression
15.00-15.30
 Coffee break
Postgraduate Clinic
 15.30-17.00
 White spots lesion - ICON
17:00- 18:30 
 Bonus Lecture Orthodontic intervention to patients before restorative treatment: Classical protocols vs digitally designed clear aligners.
Day 14: 
 Restoration of endodontically treated teeth
Lecture Room
 09.00-10.30
 Restoration of endodontically treated teeth, posts, the importance of ferule effect, adhesion in the root canal, biomechanical behaviour of endodontically treated teeth
 Prefabricated posts vs. cast posts vs. Compocore
10.30-11.00
 Coffee break
Lecture Room
 11.00-12.30
 Restoration of endodontically treated teeth
12.30-13.30
 Light lunch
Simulation laboratory-
 13.30-15.00
 Hands-on: adhesion of prefabricated post and restoration of endodontically treated tooth using core material
15.00-15.30
 Coffee break
Simulation laboratory-
 15.30-17.00
 Hands-on: adhesion of prefabricated post and restoration of endodontically treated tooth using core material
Day 15: 
 Restoration of single teeth with crowns
Indications
 Hands-on preparation with vertical preparation vs preparation with horizontal preparation
 Provisional restoratiopns
Module 6: 24-26 April 2026
Day 16: :
 Restoration of single missing anterior tooth – resin bonded bridge
Lecture Room
 09.00-10.30
 Restoration of single missing anterior tooth using a resin bonded bridge
10.30-11.00
 Coffee break
Lecture Room
 11.00-12.30
 Restoration of single missing anterior tooth using a resin bonded bridge
12.30-13.30
 Light lunch
Simulation laboratory-
 13.30-15.00
 Hands-on: Tooth preparation for a resin bonded bridge
15.00-15.30
 Coffee break
Simulation laboratory-
 15.30-17.00
 Hands-on: Bonding of a resin bonded bridge
Day 17: :
 Restoration of single missing anterior tooth – single implant
Lecture Room
 09.00-10.30
 Restoration of single missing anterior tooth using a single implant
10.30-11.00
 Coffee break
Lecture Room
 11.00-12.30
 Restoration of single missing anterior tooth using a single implant
12.30-13.30
 Light lunch
Simulation laboratory-
 13.30-15.00
 Hands-on: Peri-implant soft tissue management using provisional restoration
15.00-15.30
 Coffee break
Simulation laboratory-
 15.30-17.00
 Hands-on: Impression of a single implant
Day 18: :
 Restoration of single missing anterior tooth – Full coverage bridge
Lecture Room
 09.00-10.30
 Restoration of single missing anterior tooth using a three-unit bridge, vertical vs. horizontal preparatiosn, printable prototypes, monolithic restorations
10.30-11.00
 Coffee break
Lecture Room
 11.00-12.30
 Hands-on: Preparations and provisional for a 3-unit anterior bridge
12.30-13.30
 Light lunch
Simulation laboratory-
 13.30-15.00
 Hands-on: Preparations and provisional for a 3-unit anterior bridge
15.00-15.30
 Coffee break
Simulation laboratory-
 15.30-17.00
 Completion of the course
  
 English












































