9:00-10:30
Lecture
10:30-11:00
Hands-on practical on peg shaped lateral incisors
11:00-13:00
Break
13:00-14:00
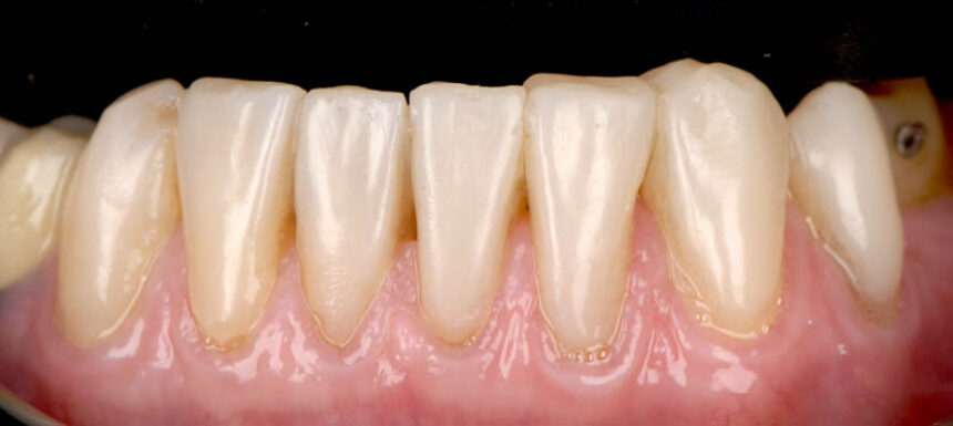
Hands-on practical on 6 anterior worn teeth
14:00-17:00
Case based discussion
The Injection Moulding course
The injection moulding technique aims at replicating a pre-approved shape when restoring teeth in resin composite. It is a systematic approach designed to put the clinician in total control of their outcomes. The course has been designed and updated with the dentist in mind after feedback from hundreds of previous delegates. The key words that describe injection moulding are predictability, consistency and simplicity.
Aims and Objectives
Explain and demonstrate the Injection Moulding technique for composite resin
Discuss step by step technical and clinical processes
Discuss materials available, alternative techniques and evidence about injectable resin composites
Compare digital versus analogue workflow
Learning Outcomes
Save time and provide efficient composite restorations with outstanding anatomy
Practice the injection moulding technique on typodont models
Watch several videos of all the technical and clinical stages

“He demystify the whole process. He make it so easy to apply into practice. A complicated process that make so, so simple”.
“Its changed the way i do my comsosite bonding. I can’t wait to take it back to my practice and start treating patients”.
“I can apply the principles to my implant dentistry. It is something you can apply in everyday dentistry. I’m in the 45th year of my dentistry, and if another course comes out, in on it”.
I am a highly experienced registered specialist in Prosthodontics, an area of dentistry that deals with the aesthetic and functional replacement of missing teeth and restoring of broken down teeth.
Dentistry is a passion for me and not just a profession. I strive to deliver a first class service to my patients and provide a care plan based on my patients’ concerns.
I am an Honorary Consultant at King’s College, London, the number one dental school in the world, where I have been teaching specialists currently in training and dental students since 2008.
Lecture
Hands-on practical on peg shaped lateral incisors
Break
Hands-on practical on 6 anterior worn teeth
Case based discussion
Date: 13/12/2025 (Athens)
.