Info
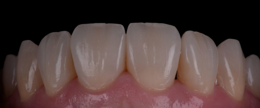
Intensive one day hands on program designed to teach participants to deliver direct life-like composite veneers.
Learning objectives:
Shade analysis.
Using wax-ups and silicone keys to guide the restorative process.
Layering poly-chromatic composite restorations and the use of stains to create internal effects.
Considerable time and effort will be placed on the important finishing and polishing procedures.
Speakers

Tony Rotondo
AUSTRALIA
Tony Rotondo is a registered specialist in Prosthodontics, he completed his undergraduate degree at the University of Queensland in 1984 and a postgraduate residency in Prosthodontics in 1996 at the University of California, Los Angles (UCLA). He currently practices in Brisbane. Tony has specific interests in dental aesthetics, dental implants and ceramic materials. He has and continues to teach undergraduates and postgraduates at the University of Queensland. He has been a visiting lecturer to the postgraduate program in prosthodontics at the University of Sydney and a visiting lecturer to Griffith University, School of Dentistry in Southport. Tony is a fellow of the International College of Dentists.
In the past Tony has been the president of the Australian Society of Aesthetic Dentistry (QLD Branch), secretary of ANZAP (Australian and New Zealand Academy of Prosthodontists), treasurer and founding member of AOS (Australasian Osseointegration Society, QLD branch), he is part of the DSD scientific board, a silver member with in the Style Italiano group and a member of many other professional associations. Tony is a product evaluator for dental companies and presents numerous continuing educational programs nationally and internationally.
Venue
frequently asked questions
Date: 4/10/2018 (09.00-17.00)
.
Ελληνικά












