02/07/2021
08:15 – 09:00
Registrations
09:00 – 10:30
Atrophic jaw bone classification - Treatment planning and surgical indications.
The totally edentulous maxilla: different atrophies and corresponding surgical techniques - Videos on bone graft and Guided Bone Regeneration.
10:30 – 11:15
Coffee Break
11:15 – 12:45
The totally edentulous mandible: different atrophies and corresponding surgical techniques - Short implants - Bone grafts – GBR
Horizontal and Vertical Ridge Augmentation: scientific background - surgical techniques – resorbable and non-resorbable membranes - bone graft harvesting from intra-oral sites – video
12:45 – 14:15
Lunch break
14:15 – 15:45
Aesthetic Implant Dentistry – basic science
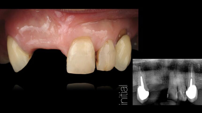
Anatomical determinants of aesthetic implant restoration – Diagnosis and treatment planning.
Soft Tissue management.
Surgical techniques for hard and soft tissue augmentation.
15:45 – 16:30
Coffee Break
16:30 – 17:30
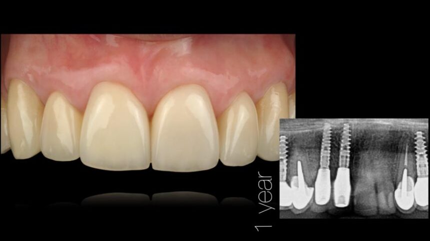
Long term results after 30 years of experience.
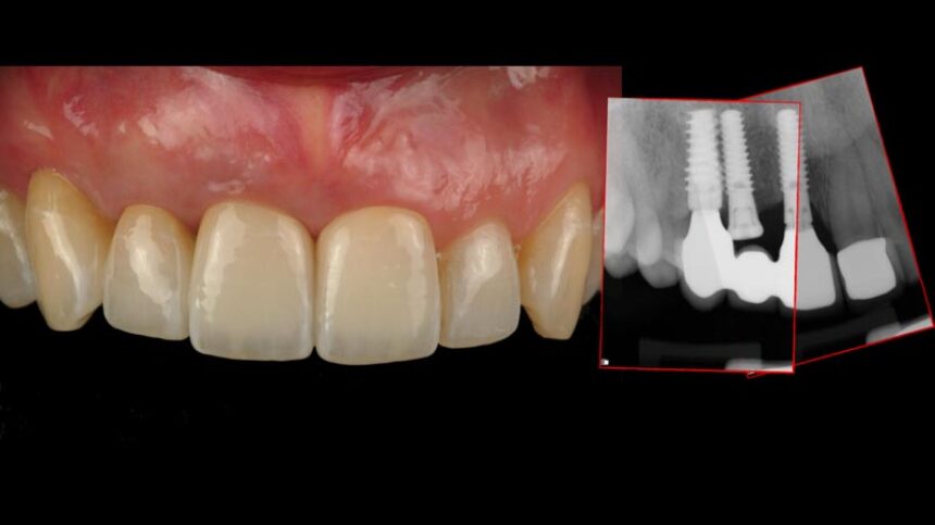
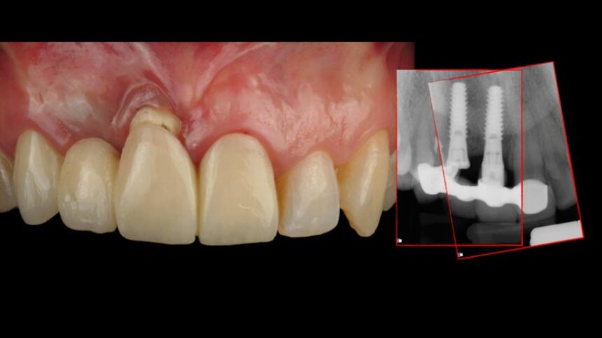
Management of GBR complications.
Diagnosis, prevention and treatment of peri-implantitis
Prof. Massimo Simion
03/07/2021
09:00 – 10:30
Understand the importance of CTG around dental implants for long term results
10:30 – 11:15
Coffee Break
11:15 – 12:45
Techniques and tools to ensure predictable surgical & prosthetic results
12:45 – 14:15
Lunch break
14:15 – 15:45
Decision making process for the right treatment selection option
15:45 – 16:30
Coffee Break
16:30 – 17:30
Managing failures with implants in the esthetic area, the options.
DR. IÑAKI GAMBORENA
Ελληνικά
























